¿Alguna vez has sentido un dolor de muela tan fuerte que parece no tener fin? ¿O te has preguntado qué significa realmente eso de “matar el nervio”? Si es así, no te preocupes. Muchas personas llegan a la consulta con las mismas dudas, y la respuesta casi siempre pasa por un tratamiento muy conocido: la endodoncia.
¿Qué es exactamente una endodoncia?
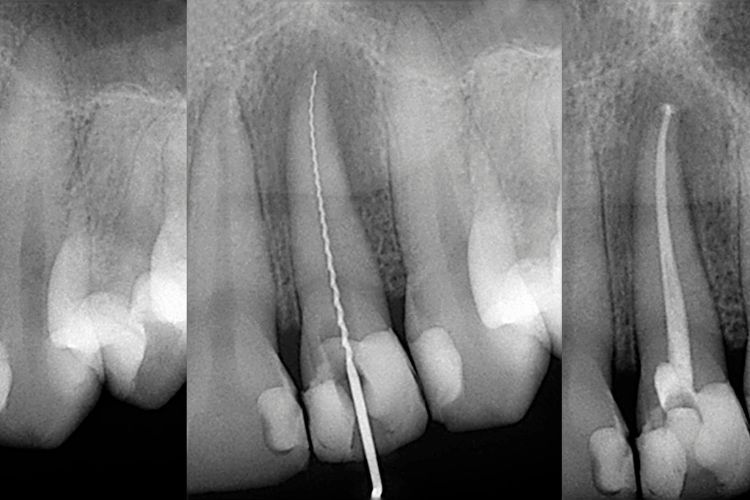
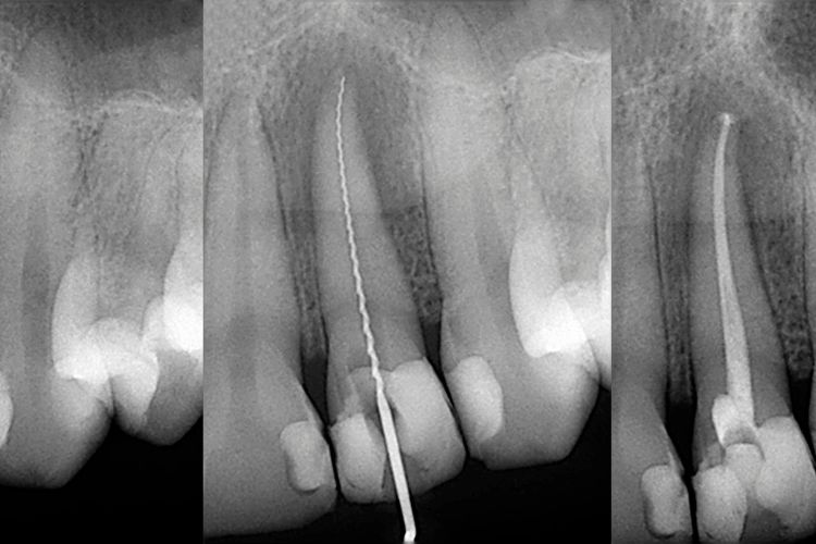
La endodoncia es un procedimiento odontológico que permite conservar un diente dañado o infectado, en lugar de extraerlo. Básicamente, consiste en retirar la pulpa dental (el tejido nervioso y vascular que está dentro del diente), limpiar la zona afectada y sellarla de manera segura para evitar que vuelva la infección.
Gracias a este tratamiento, un diente que parecía perdido puede seguir formando parte de tu sonrisa durante muchos años.
¿Cuándo es necesario hacer una endodoncia?
¿Te has hecho alguna vez estas preguntas?: “¿Por qué me duele tanto al morder?”, “¿Es normal que un diente se oscurezca de repente?”,“¿La sensibilidad al frío que dura varios minutos es señal de algo grave?”
Todos estos síntomas pueden indicar que necesitas una endodoncia. Otros signos habituales son:
- Dolor persistente, incluso sin estímulo.
- Fístulas o pequeños “granitos” en la encía.
- Inflamación en la zona del diente afectado.
Aun así, hay ocasiones en las que no hay síntomas evidentes y la necesidad de una endodoncia solo se detecta en una revisión de rutina. De ahí la importancia de visitar periódicamente tu clínica dental.
Tipos de tratamientos después de una endodoncia
Una vez realizada la endodoncia, el siguiente paso es restaurar el diente para que quede protegido y funcional. No todos los casos son iguales, y la elección dependerá del grado de destrucción de la pieza. Estas son las opciones más comunes:
Reconstrucción simple
Cuando el daño en el diente es leve y todavía queda suficiente estructura dental sana, puede reconstruirse con un empaste estético. Es rápido y conserva gran parte del diente original.
Reconstrucción con poste de fibra de vidrio
Si el diente ha perdido mucha estructura, se coloca un poste dentro del conducto tratado. Este refuerza el diente y sirve de soporte para la reconstrucción. Es una opción muy utilizada por su resistencia y estética.
Incrustación
Es una . Se fabrica a medida en el laboratorio y se adhiere al diente, devolviendo su forma y función de manera precisa.
Corona dental
En los casos en los que la pieza está muy debilitada, lo mejor es protegerla con una funda o corona. Esto garantiza que el diente endodonciado soporte la masticación sin fracturarse y luzca natural en la sonrisa.
Beneficios de una endodoncia
- Conservas tu propio diente: siempre será mejor que una extracción.
- Dices adiós al dolor y la infección: recuperas calidad de vida.
- Recuperas la funcionalidad y la estética: puedes volver a sonreír y comer con tranquilidad.
- Prevención de problemas mayores: una infección no tratada puede extenderse y complicar tu salud general.
¿Es doloroso este tratamiento?
Muchos pacientes llegan con miedo, pero la realidad es que la endodoncia se realiza con anestesia local, por lo que no duele durante el procedimiento. Lo más habitual es sentir una ligera sensibilidad en los días posteriores, algo que desaparece con analgésicos convencionales.

Consejos si necesitas una endodoncia
- No mastiques alimentos duros con el diente tratado hasta que esté restaurado definitivamente.
- Sigue al pie de la letra las recomendaciones de tu dentista.
- Mantén una buena higiene oral con cepillado e hilo dental.
- Acude a revisiones periódicas para asegurarte de que todo evoluciona bien.

En López y Suárez contamos con especialistas en endodoncia que utilizan técnicas modernas y materiales de alta calidad para garantizar el éxito del tratamiento. Además, te acompañamos en cada paso, explicándote de manera clara lo que haremos para que estés tranquilo y seguro.
Si notas molestias o sospechas que puedes necesitar una endodoncia, no lo dejes pasar. Te atendemos vía telefónica en 950 63 17 63 o vía Whatsapp en 676 46 47 74. Y recuerda: un diagnóstico temprano puede marcar la diferencia entre perder o conservar tu diente.








